Cirujanos vasculares y cardiovasculares realizan con éxito una trombectomía pulmonar con innovadora técnica en la cuarta región
El tromboembolismo pulmonar es más frecuente de lo que se cree y se encuentra entre las principales causas de mortalidad intrahospitalaria. Pese a las medidas preventivas, algunos pacientes desarrollan trombosis que pueden derivar en esta grave complicación, especialmente tras cirugías o períodos prolongados de hospitalización.
Un procedimiento de alta complejidad fue realizado con éxito en el Hospital de La Serena, donde un equipo multidisciplinario de cirugía vascular y cirugía cardiovascular logró tratar un tromboembolismo (obstrucción de una arteria) pulmonar masivo, mediante una trombectomía mecánica endovascular asistida por tecnología de última generación. La intervención permitió revertir rápidamente una condición potencialmente mortal y marcó un hito clínico para la red de salud de la región al ser el primer procedimiento realizado en la zona con esta tecnología.

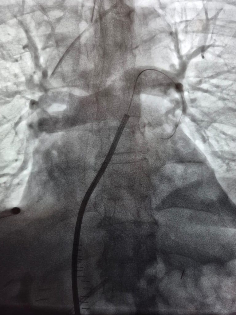
La trombectomía mecánica endovascular es una técnica mínimamente invasiva que permite extraer directamente un coágulo desde la arteria pulmonar. A través de una punción en una vena, generalmente en la pierna o el cuello, se introduce un catéter que avanza por el sistema venoso hasta llegar al corazón y luego a la arteria pulmonar, donde se encuentra la obstrucción. Una vez posicionado el dispositivo, se aspira el trombo, despejando el flujo sanguíneo hacia los pulmones de manera inmediata.
Uno de los elementos claves de esta intervención fue el uso de tecnología que permite analizar continuamente el material aspirado. El sistema distingue entre trombo y sangre mediante sensores que evalúan características como la densidad del flujo. A diferencia de otras técnicas, que podían implicar cirugías abiertas o sistemas de aspiración menos precisos, en este caso, se utilizó un equipo capaz de identificar el tipo de material que está siendo aspirado, lo que permite actuar principalmente sobre el coágulo y reducir significativamente la extracción de sangre, que, en otras técnicas, puede llevar al paciente a perder litros del vital tejido, representando un riesgo importante para la persona.
El doctor Jorge Novoa, cardiocirujano del recinto de salud serenense comentó que la trombectomía es un procedimiento que puede realizarse de distintas formas. “En términos generales, no se trata de una técnica nueva. Sin embargo, lo que sí ha avanzado considerablemente con el tiempo es la tecnología y el desarrollo de métodos mínimamente invasivos con los que hoy en día puede llevarse a cabo. En palabras simples, consiste en extraer un coágulo desde la arteria pulmonar por diferentes medios. Tradicionalmente, estos pacientes recibían tratamiento anticoagulante endovenoso y, en los casos más graves, trombólisis endovenosa para disolver el coágulo. No obstante, un porcentaje importante de pacientes no logra una resolución completa del cuadro con este manejo endovenoso”.

La intervención se realizó en el pabellón de Hemodinamia del Hospital de La Serena, utilizando imágenes en tiempo real para guiar el avance del catéter a través del sistema venoso, el corazón, hasta llegar a la arteria pulmonar. Este control es fundamental para asegurar precisión durante la navegación intravascular y evitar complicaciones. En este contexto, la coordinación entre los cardiocirujanos y cirujanos vasculares fue clave para el éxito del procedimiento, integrando experiencia en técnicas endovasculares con conocimiento en anatomía cardíaca y manejo de pacientes críticos.
Sobre esta intervención, el doctor Sergio Puebla, Subdirector Médico de Atención Cerrada del recinto de salud destacó que la trombectomía mecánica de aspiración de alto flujo es una técnica muy eficaz, especialmente en el ámbito venoso y en la embolia pulmonar, ya que permite la eliminación inmediata de grandes volúmenes de coágulos.
“Nuestros cirujanos vasculares y cardiocirujanos conforman un equipo altamente competente y con una gran dedicación a la salud pública, por lo que agradecemos profundamente su compromiso. En cuanto al uso de nuevas tecnologías como las empleadas en este paciente, éstas resultan necesarias. A nivel institucional, estamos evaluando distintas herramientas para gestionar la incorporación de este tipo de tecnologías, ya que no sólo son más efectivas, sino también más eficientes, al disminuir la pérdida de sangre de los pacientes; lo que, a su vez, permite reducir su estadía hospitalaria”.
ALTA CAPACIDAD RESOLUTIVA
El doctor Cristóbal Larraín, cirujano vascular del recinto destacó que esta intervención podía ser determinante para salvar la vida de la paciente. “Se trata, además, de una técnica de alto costo, ya que utiliza un sistema computarizado que permite identificar lo que se está aspirando. Anteriormente, el procedimiento consistía en introducir un catéter de gran calibre y aspirar manualmente con una jeringa para extraer el trombo, lo que implicaba también la pérdida significativa de sangre. Esto podía dejar al paciente con pérdidas de varios litros del vital elemento, requiriendo transfusiones masivas y aumentando el riesgo de complicaciones graves e incluso de mortalidad. En cambio, la tecnología actual permite diferenciar entre sangre y trombo durante la succión, de modo que el sistema aspira selectivamente el coágulo, reduciendo de manera importante la pérdida sanguínea y mejorando la seguridad del procedimiento”.
El caso correspondió a una paciente que, tras una cirugía mayor, presentó una descompensación respiratoria aguda. Los exámenes confirmaron la presencia de un trombo de gran magnitud que comprometía ambas arterias pulmonares principales, configurando un tromboembolismo pulmonar masivo. Este tipo de cuadros exige una respuesta rápida y precisa.

El procedimiento tuvo una duración aproximada de una hora y permitió la extracción de un trombo de gran tamaño que comprometía de forma extensa la circulación pulmonar. Tras la trombectomía, la paciente presentó una mejoría inmediata en su estado clínico, con recuperación de la oxigenación y estabilidad hemodinámica. Esta respuesta rápida es una de las principales ventajas de la técnica, ya que permite resolver la obstrucción de forma directa, a diferencia de los tratamientos farmacológicos que actúan de manera progresiva.
El tromboembolismo pulmonar es una enfermedad grave que ocurre cuando un coágulo de sangre viaja por el sistema venoso hasta alojarse en la arteria pulmonar, la cual transporta la sangre desde el corazón hacia los pulmones para su oxigenación. Cuando el coágulo es de gran tamaño, puede bloquear el flujo sanguíneo de manera significativa, generando disminución de oxígeno en la sangre, compromiso cardíaco y, en los casos más severos, un colapso circulatorio que puede provocar la muerte en un corto período de tiempo.

El doctor Novoa señaló que, “Como equipo de cirugía cardiovascular, que está recién iniciando en el hospital, ha sido muy gratificante poder aportar. Esta experiencia nos ha permitido acercarnos y aplicar nuestros conocimientos en algo concreto, que hoy ya es posible realizar. Por ello, estamos muy contentos y, al mismo tiempo, entusiasmados y comprometidos con continuar desarrollando esta práctica, con la expectativa de que pueda instaurarse de forma regular en el hospital”.











